
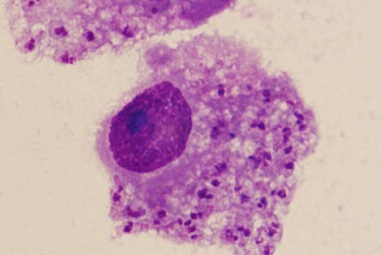
Cientistas identificam novo parasita que já infectou mais de cem pessoas no Nordeste